Отзывы
Чаще люди не делятся позитивом. Но мы призываем быть искренними и писать свое мнение о семинарах и продукции для ортодонтов. Это поможет коллегам-врачам. Каждый хочет, чтобы выполняемая работы была отмечена. Пишите отзывы!
12.09.2025
Волоковая Екатерина
Врач-ортодонт
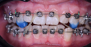
#repost be @katya.orthodontics
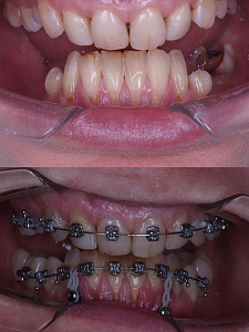
Пациентка обратилась с запросом на эстетическое изменения улыбки — не устраивает размеры латеральных резцов.
Такие запросы встречаются часто, и пациентам бывает сложно решиться на временную реставрацию, но в вопросе эстетики и визуального эффекта улыбки — это действительно важно.
WOW-эффект вашей улыбки складывается из микро деталей.
Пациентка обратилась с запросом на эстетическое изменения улыбки — не устраивает размеры латеральных резцов.
Такие запросы встречаются часто, и пациентам бывает сложно решиться на временную реставрацию, но в вопросе эстетики и визуального эффекта улыбки — это действительно важно.
WOW-эффект вашей улыбки складывается из микро деталей.
#repost be @katya.orthodontics
Пациентка обратилась с запросом на эстетическое изменения улыбки — не устраивает размеры латеральных резцов.
Такие запросы встречаются часто, и пациентам бывает сложно решиться на временную реставрацию, но в вопросе эстетики и визуального эффекта улыбки — это действительно важно.
WOW-эффект вашей улыбки складывается из микро деталей.
Пациентка обратилась с запросом на эстетическое изменения улыбки — не устраивает размеры латеральных резцов.
Такие запросы встречаются часто, и пациентам бывает сложно решиться на временную реставрацию, но в вопросе эстетики и визуального эффекта улыбки — это действительно важно.
WOW-эффект вашей улыбки складывается из микро деталей.
27.08.2025
Антошкиев Умалат
Врач-ортодонт
25.08.2025
Attba Al-Jafari
Врач-ортодонт
#repost be @attba.ortho
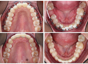
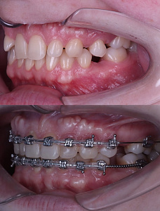
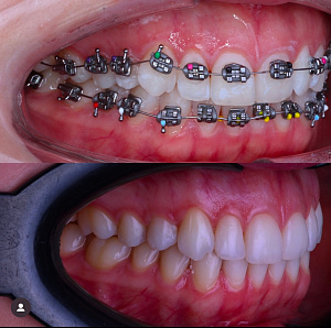
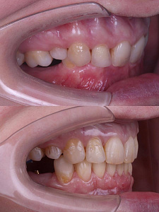
Пациент обратился с жалобами на неровные зубы и дискомфорт в левом суставе: щелчок и периодическая блокировка.
⠀
✅ Первым этапом мы нормализовали ширину верхней челюсти с помощью аппарата Хааса — это дало правильное пространство для зубов.
✅ Затем провели последовательную дистализацию с использованием пружин на частичной брекет-системе.
✅ Следующим шагом стало полное ортодонтическое лечение брекетами.
⠀
⏳ Уже через год мы получили гармоничный прикус, ровные зубы и стабильную работу сустава.
Брекеты — это не только эстетика, но и здоровье, функция и комфорт каждый день ✨
Пациент обратился с жалобами на неровные зубы и дискомфорт в левом суставе: щелчок и периодическая блокировка.
⠀
✅ Первым этапом мы нормализовали ширину верхней челюсти с помощью аппарата Хааса — это дало правильное пространство для зубов.
✅ Затем провели последовательную дистализацию с использованием пружин на частичной брекет-системе.
✅ Следующим шагом стало полное ортодонтическое лечение брекетами.
⠀
⏳ Уже через год мы получили гармоничный прикус, ровные зубы и стабильную работу сустава.
Брекеты — это не только эстетика, но и здоровье, функция и комфорт каждый день ✨
#repost be @attba.ortho
Пациент обратился с жалобами на неровные зубы и дискомфорт в левом суставе: щелчок и периодическая блокировка.
⠀
✅ Первым этапом мы нормализовали ширину верхней челюсти с помощью аппарата Хааса — это дало правильное пространство для зубов.
✅ Затем провели последовательную дистализацию с использованием пружин на частичной брекет-системе.
✅ Следующим шагом стало полное ортодонтическое лечение брекетами.
⠀
⏳ Уже через год мы получили гармоничный прикус, ровные зубы и стабильную работу сустава.
Брекеты — это не только эстетика, но и здоровье, функция и комфорт каждый день ✨
Пациент обратился с жалобами на неровные зубы и дискомфорт в левом суставе: щелчок и периодическая блокировка.
⠀
✅ Первым этапом мы нормализовали ширину верхней челюсти с помощью аппарата Хааса — это дало правильное пространство для зубов.
✅ Затем провели последовательную дистализацию с использованием пружин на частичной брекет-системе.
✅ Следующим шагом стало полное ортодонтическое лечение брекетами.
⠀
⏳ Уже через год мы получили гармоничный прикус, ровные зубы и стабильную работу сустава.
Брекеты — это не только эстетика, но и здоровье, функция и комфорт каждый день ✨
20.08.2025
Шепелева (Ларкина) Галина
Врач-ортодонт
19.08.2025
Ракович Юлия
Врач-ортодонт
19.08.2025
Тулякова Юлия
Врач-ортодонт
18.08.2025
ЭЛЬДЕРХАН ЗОРГЕВИЧ
Врач-ортодонт
04.08.2025
Волоковая Екатерина
Врач-ортодонт
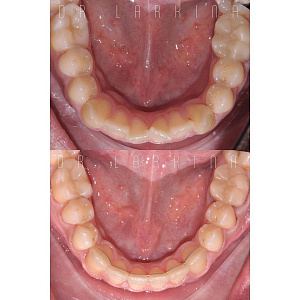
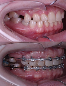
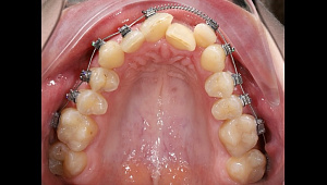
@katya.orthodontics Глубокий травмирующий прикус, ретрузия резцов на верхней и нижней челюсти. Отсутствие поддержки в боковом отделе. Пациенту предложили удалить все 4 резца ни нижней челюсти.
Решила начать с ортодонтии. Нормализовали высоту, на этапе высоту создавали и удерживали на временных коронках на имплантатах. Наклон дополнительно отрабатывали с помощью межкорневых минивинтов.
04.08.2025
Пивторян Егор
Врач-ортодонт

28.07.2025
Тулякова Юлия
Врач-ортодонт
15.07.2025
Саид Ахмедов
Врач-ортодонт
19.06.2025
Анонимный отзыв
Врач-ортодонт
Я давно работаю с Ultra Bandlok. Удобно, что он синий, удобно, что засветил и готово. Он достаточно легко и просто снимается с зуба, когда надо удалять. К Bandlok надо привыкнуть. Он достаточно жидкий, его нужно научится брать на гладилку и снимать об зуб. В некоторых ситуациях это удобно. Но все равно это не привычно, другие материалы более густые. Потребности переходить на другой материал нет. Мне в целом все комфортно.
13.06.2025
Анонимный отзыв
Врач-ортодонт
Ultra Bandlok мне нравится. Использую для фиксации колец, аппаратов несъемного характера и для окклюзионных накладок. Сначала некоторое время привыкала к нему, потому что он более жидкий. У других производителей он густой. Такой лайфхак. Если комбинировать этот цемент с праймером при фиксации, то он легко поддается укладке. Я им довольна и всегда его беру!
13.06.2025
Анонимный отзыв
Врач-ортодонт
Данный материал использую для фиксации колец несъёмных аппаратов и изготовления накладок прямым методом в полости рта
После того, как начал использовать данный материал фактически отсутствуют расцементировки аппаратов. Материал удобен при нанесении на кольца, не растекается, что позволяет работать в «стрессовых» условиях с нашими маленькими пациентами.
Также за счёт своей пластичности материал очень удобен для изготовления накладок прямым методом. Пластичность материала позволяет проводить моделирование позиционирующих накладок. С момента начала использованием данного материала время моделировки сократилось вдвое
Оценка 5 из 5 :))
После того, как начал использовать данный материал фактически отсутствуют расцементировки аппаратов. Материал удобен при нанесении на кольца, не растекается, что позволяет работать в «стрессовых» условиях с нашими маленькими пациентами.
Также за счёт своей пластичности материал очень удобен для изготовления накладок прямым методом. Пластичность материала позволяет проводить моделирование позиционирующих накладок. С момента начала использованием данного материала время моделировки сократилось вдвое
Оценка 5 из 5 :))
01.06.2025
Волоковая Екатерина
Врач-ортодонт
#repost be @katya.orthodontics
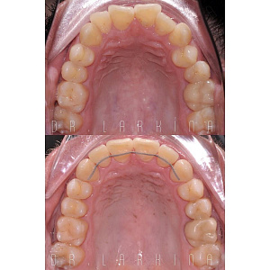
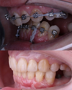
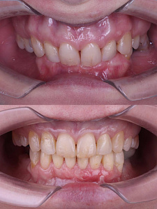
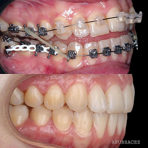
Сложный случай: глубина прикуса, ретрузия резцов и решение без удаления!
Коллеги, делюсь непростым, но вдохновляющим кейсом. Пациент пришёл с целью сохранить центральные резцы на нижней челюсти, хотя ему уже предлагали удалить все четыре и перейти на тотальное протезирование. Моя задача — сохранить максимум естественных зубов.
Что на старте:
— Глубокий травмирующий прикус
— Ретрузия резцов (до 27° на нижней челюсти!)
— Отсутствие боковой поддержки
— Снижение высоты
— Вертикальное перекрытие более 18 мм
— Адентия + скелетный II класс
— Изменённая форма центральных резцов после реставраций
При этом пациент НЕ имел жалоб со стороны ВНЧС — это дало нам пространство для действий.
План лечения:
— Сначала увеличили высоту с помощью временных коронок на имплантах
— Постепенно работали с торком и раскрытием фронта
— Применяли пружины, мини-винты, цепочки
— Снимали ангуляцию в боковых отделах
— Сохраняли зубы, избегая рецессий
Один из поворотных моментов: отказ от немедленной установки винтов на верхнюю челюсть. Сейчас, анализируя кейс, понимаю — это замедлило процесс. Сегодня начала бы именно с них.
А ещё:
— Использовала изгибы на Niti-дуге ещё на раннем этапе
— Поднимала клык и работала на раскрытие даже на легких дугах
— Удерживала силу, чтобы ускорить торк
— Планировала хирургическое закрытие остаточных рецессий
Сейчас: нормализован торк, поднята высота, активное перемещение — а главное, резцы сохранены.
Мы получили отличный результат, и пациент доволен.
Сложный случай: глубина прикуса, ретрузия резцов и решение без удаления!
Коллеги, делюсь непростым, но вдохновляющим кейсом. Пациент пришёл с целью сохранить центральные резцы на нижней челюсти, хотя ему уже предлагали удалить все четыре и перейти на тотальное протезирование. Моя задача — сохранить максимум естественных зубов.
Что на старте:
— Глубокий травмирующий прикус
— Ретрузия резцов (до 27° на нижней челюсти!)
— Отсутствие боковой поддержки
— Снижение высоты
— Вертикальное перекрытие более 18 мм
— Адентия + скелетный II класс
— Изменённая форма центральных резцов после реставраций
При этом пациент НЕ имел жалоб со стороны ВНЧС — это дало нам пространство для действий.
План лечения:
— Сначала увеличили высоту с помощью временных коронок на имплантах
— Постепенно работали с торком и раскрытием фронта
— Применяли пружины, мини-винты, цепочки
— Снимали ангуляцию в боковых отделах
— Сохраняли зубы, избегая рецессий
Один из поворотных моментов: отказ от немедленной установки винтов на верхнюю челюсть. Сейчас, анализируя кейс, понимаю — это замедлило процесс. Сегодня начала бы именно с них.
А ещё:
— Использовала изгибы на Niti-дуге ещё на раннем этапе
— Поднимала клык и работала на раскрытие даже на легких дугах
— Удерживала силу, чтобы ускорить торк
— Планировала хирургическое закрытие остаточных рецессий
Сейчас: нормализован торк, поднята высота, активное перемещение — а главное, резцы сохранены.
Мы получили отличный результат, и пациент доволен.
#repost be @katya.orthodontics
Сложный случай: глубина прикуса, ретрузия резцов и решение без удаления!
Коллеги, делюсь непростым, но вдохновляющим кейсом. Пациент пришёл с целью сохранить центральные резцы на нижней челюсти, хотя ему уже предлагали удалить все четыре и перейти на тотальное протезирование. Моя задача — сохранить максимум естественных зубов.
Что на старте:
— Глубокий травмирующий прикус
— Ретрузия резцов (до 27° на нижней челюсти!)
— Отсутствие боковой поддержки
— Снижение высоты
— Вертикальное перекрытие более 18 мм
— Адентия + скелетный II класс
— Изменённая форма центральных резцов после реставраций
При этом пациент НЕ имел жалоб со стороны ВНЧС — это дало нам пространство для действий.
План лечения:
— Сначала увеличили высоту с помощью временных коронок на имплантах
— Постепенно работали с торком и раскрытием фронта
— Применяли пружины, мини-винты, цепочки
— Снимали ангуляцию в боковых отделах
— Сохраняли зубы, избегая рецессий
Один из поворотных моментов: отказ от немедленной установки винтов на верхнюю челюсть. Сейчас, анализируя кейс, понимаю — это замедлило процесс. Сегодня начала бы именно с них.
А ещё:
— Использовала изгибы на Niti-дуге ещё на раннем этапе
— Поднимала клык и работала на раскрытие даже на легких дугах
— Удерживала силу, чтобы ускорить торк
— Планировала хирургическое закрытие остаточных рецессий
Сейчас: нормализован торк, поднята высота, активное перемещение — а главное, резцы сохранены.
Мы получили отличный результат, и пациент доволен.
Сложный случай: глубина прикуса, ретрузия резцов и решение без удаления!
Коллеги, делюсь непростым, но вдохновляющим кейсом. Пациент пришёл с целью сохранить центральные резцы на нижней челюсти, хотя ему уже предлагали удалить все четыре и перейти на тотальное протезирование. Моя задача — сохранить максимум естественных зубов.
Что на старте:
— Глубокий травмирующий прикус
— Ретрузия резцов (до 27° на нижней челюсти!)
— Отсутствие боковой поддержки
— Снижение высоты
— Вертикальное перекрытие более 18 мм
— Адентия + скелетный II класс
— Изменённая форма центральных резцов после реставраций
При этом пациент НЕ имел жалоб со стороны ВНЧС — это дало нам пространство для действий.
План лечения:
— Сначала увеличили высоту с помощью временных коронок на имплантах
— Постепенно работали с торком и раскрытием фронта
— Применяли пружины, мини-винты, цепочки
— Снимали ангуляцию в боковых отделах
— Сохраняли зубы, избегая рецессий
Один из поворотных моментов: отказ от немедленной установки винтов на верхнюю челюсть. Сейчас, анализируя кейс, понимаю — это замедлило процесс. Сегодня начала бы именно с них.
А ещё:
— Использовала изгибы на Niti-дуге ещё на раннем этапе
— Поднимала клык и работала на раскрытие даже на легких дугах
— Удерживала силу, чтобы ускорить торк
— Планировала хирургическое закрытие остаточных рецессий
Сейчас: нормализован торк, поднята высота, активное перемещение — а главное, резцы сохранены.
Мы получили отличный результат, и пациент доволен.
02.04.2025
ВАЛЕРИЯ МОРКОВКИНА
Врач-ортодонт
02.08.2024
Мамедова Улькер
Врач-ортодонт
Материл для ретейнеров:
Плюсы:
1. Из-за своей структуры низкий риск скручивания ретейнера и формирования wire-syndrom, то есть нежелательного движения зубов непосредственно из-за ретейнера. Это и послужило причиной приобретения этого ретейнера.
2. Плоский, тонкий - удобно ставить на верхние фронтальные зубы, не нарушая смыкание с нижними зубами.
3. Комфортно адаптируется (изгибается) по зубам.
4. Не эластичный, что является хорошим гарантом стабильной фиксации зубов.
Минус один и достаточно относительный: ретейнер в виде ленты, первое время может показаться сложным его адаптировать по зубам, чтобы он прилегал плотно и не отступал от зубов в некоторых участках (например, переходы от латеральных резцов к клыкам, выраженные углубления небных поверхностей у некоторых верхних резцов). Но, с течением времени, можно приноровиться и понять, как с ним работать, как правильно и аккуратно его адаптировать (с помощью инструмента band setter, например), и тогда этот минус ликвидируется.
Плюсы:
1. Из-за своей структуры низкий риск скручивания ретейнера и формирования wire-syndrom, то есть нежелательного движения зубов непосредственно из-за ретейнера. Это и послужило причиной приобретения этого ретейнера.
2. Плоский, тонкий - удобно ставить на верхние фронтальные зубы, не нарушая смыкание с нижними зубами.
3. Комфортно адаптируется (изгибается) по зубам.
4. Не эластичный, что является хорошим гарантом стабильной фиксации зубов.
Минус один и достаточно относительный: ретейнер в виде ленты, первое время может показаться сложным его адаптировать по зубам, чтобы он прилегал плотно и не отступал от зубов в некоторых участках (например, переходы от латеральных резцов к клыкам, выраженные углубления небных поверхностей у некоторых верхних резцов). Но, с течением времени, можно приноровиться и понять, как с ним работать, как правильно и аккуратно его адаптировать (с помощью инструмента band setter, например), и тогда этот минус ликвидируется.
26.07.2024
Гукасова Ида Борисовна
Врач-ортодонт
Смело рекомендую! Самый удобный ретейнер, которым я когда-либо пользовалась. Удобен в позиционирование, легко гнется. Для пациентов комфортен в ношение.
26.07.2024
Османова Фарида
Врач-ортодонт
Мне нравится, что он легко адаптируется по зубу, не нужно прикладывать усилия. Пациенту намного комфортнее с таким ретейнером, так как он плоский и пациент его особо не ощущает, в отличии от скрученного. Ранее использовала круглые ретейнеры, но из-за жесткости и плохой адаптации решила попробовать bond-a-braid и теперь пользуюсь только им.
26.07.2024
Махаева Мария
Врач-ортодонт
На сегодняшний день я бы сказала, что этот ретейнер занимает пока 1 место в моем личном рейтинге ретейнеров. Плюсов много: позиционировать просто, хорошо ложится по зубам и можно погнуть в любую сторону, стоит стабильно. Смотрю пациентов после снятия через полгода-все на месте. Отклеек минимальное количество. А пациенты, кстати, которым заменили ретейнеры на bond-a-braid отмечают, что он комфортнее в носке и минимально ощущается.
26.07.2024
Курганская Ксения Константиновна
Врач-ортодонт
Могу порекомендовать. В моей ортодонтической практики лучший ретейнер по удобству в работе,мягкий и податливый на моменте фиксации на зуб и в динамике ретенционного периода-стабильный результат с главной задачей справляется на все и обжига (доп. манипуляций) не требуется. Соответственно меньше времени на манипуляцию. Очень советую!
26.07.2024
Черкасова Александра Александровна
Врач-ортодонт
Имея опыт использования ретейнеров различных фирм на протяжении 12 лет, могу сказать, что ретейнер ортодонтический BOND-A-BRAID, который использую последние 6 месяцев, зарекомендовал себя как лучший в моей ортодонтической практике. Прекрасная адаптация к поверхности зуба, мягкий и удобный в работе. Прочный, не ломается. Использую и буду использовать этот ретейнер .
26.07.2024
Гончикова Туяна Батуевна
Врач-ортодонт
Мне очень понравился. Удобный, универсальный. Под любую форму зубов.
26.07.2024
Гончикова Туяна Батуевна
Врач-ортодонт
Мне очень понравился. Удобный, универсальный. Под любую форму зубов.
24.07.2024
Маланова Ольга Андреевна
Врач-ортодонт
Супер! Очень удобные, в припасовке идеальные.
24.07.2024
Дриц Снежанна Витальевна
Врач-ортодонт
Я попробовала новые ретейнеры BOND-A-BRAID. Это прям бомба. Я в восторге. Очень легко адаптируются.
27.06.2024
Езова Алена Сергеевна
Врач-ортодонт
Зеркала понравились, изображение чистое, без искажений. Особо удобен размер зеркала при позиционировании брекетов.
27.06.2024
Малинин Николай Александрович
Врач-ортодонт
Зеркала очень классные, изображение четкое, почти не потеют. Единственное, большие размеры 9-10 не всем подойдут, если рот узкий. Но однозначно лайк!
26.06.2024
Ракович Юлия
Врач-ортодонт
Понравилось зеркало Pure Reflect. Для фиксации ретейнера лучше зеркала не найти. Высокий зрительный комфорт. Гладкая поверхность, вода не задерживается на поверхности. Буду рекомендовать своим друзьям.
26.06.2024
Ирина Клюшева
Врач-ортодонт
Зеркало очень понравилось, оно сильно отличается от обычного - оно более светлое и четкое в полости рта. Оно даже легче чем обычное, и размер самый подходящий, не слишком огромное, и не слишком маленькое. Буду рекомендовать своим коллегам к покупке.
14.06.2024
Чантурия Натиа Зурабовна
Врач-ортодонт
Очень качественные зеркала, удобно работать . Продукция Ortholight , как всегда на высшем уровне!
18.03.2024
Татьяна
Врач-ортодонт
Выражаю свою благодарность за семинары, ТОП, продукцию! И особая благодарность за винты bioray.как мы раньше ,без них ,лечили пациентов, не понятно!
06.02.2024
Врач-ортодонт
Стоматолог-ортодонт
Щипцы очень удобные, намного удобнее крючков для открывания крышек брекетов. Мягкий ход. Небольшая сила и даже подкисшие от налета крышки спокойно можно открыть. Небольшой недостаток-на мой взгляд ручки бы им подлиннее, а в целом опыт использования однозначно положительный
05.02.2024
Врач стоматолог-ортодонт
Стоматолог-ортодонт
Мне понравился инструмент Щипцы для открывания крышек брекетов Н4/Pitts21. Он очень удобен и прост в использовании. Им может пользоваться не только ортодонт.
12.09.2023
Гордеева Екатерина Евгеньевна
Стоматолог-ортодонт
Я просто влюбилась в го ту*, на нем нет отклеек брекетов совершенно
*Адгезив в шприце 4г / GoTo Adhesive Paste 4g
*Адгезив в шприце 4г / GoTo Adhesive Paste 4g
26.07.2023
Об Assure Plus
Стоматолог-ортодонт
Коллеги, пару слов о бонде Assure Plus: Начала работать Ашуром в 2023. Решила посмотреть статистику повторных наклеек брекета.
▸ Первое полугодие 2021 года – 40 повторных фиксаций.
▸ 2022 год (первое полугодие) – 44 повторные фиксации
▸ 2023 год (тот же период) – 21 фиксация отклеенного брекета!
Объемы работы те же) Отклеек стало в два раза меньше!
▸ Первое полугодие 2021 года – 40 повторных фиксаций.
▸ 2022 год (первое полугодие) – 44 повторные фиксации
▸ 2023 год (тот же период) – 21 фиксация отклеенного брекета!
Объемы работы те же) Отклеек стало в два раза меньше!
25.09.2025
Жукова Юлия Ильинична
Врач-ортодонт
Очень давно хотела попасть на семинар Инары Велиевой, так как была вдохновлена ее клиническими случаями в социальных сетях. Как только увидела анонс семинара сразу же на него записалась. Сам семинар ожидаемо был очень интересным, вдохновляющим, информация была очень структурна преподнесена. Мы отдельно разбирали дистальный прикус, отдельно мезиальный, так же коснулись и комбинированного лечения, хирургического расширения – все достаточно актуальные вопросы, которые интересны любому практикующему ортодонту. Вся информация была очень понятна, легко донесена. Та подача, с которой рассказывает Инара, очень доступна к восприятию, время пролетает незаметно и кажется, что все возможно, потому что даже самые сложные кейсы разобраны со всех сторон.
Инара рассказывает так же об ошибках, которые не стоит совершать. Поэтому начинающему ортодонту будет полезен. Что б избежать ряд осложнений. Так же очень много инструментов, которые можно применять сразу же на практике для уже опытных ортодонтов. Например, для меня была очень много фишек, очень интересен подход, с которым лектор разбирает каждого пациента. Было очень много красивых и функциональных кейсов. Каждый случай очень эстетичный и в то же время очень много уделено именно функции, правильному смыканию.
Спасибо огромное за этот семинар, два дня пролетели просто незаметно. Я очень всем его рекомендую!
Инара рассказывает так же об ошибках, которые не стоит совершать. Поэтому начинающему ортодонту будет полезен. Что б избежать ряд осложнений. Так же очень много инструментов, которые можно применять сразу же на практике для уже опытных ортодонтов. Например, для меня была очень много фишек, очень интересен подход, с которым лектор разбирает каждого пациента. Было очень много красивых и функциональных кейсов. Каждый случай очень эстетичный и в то же время очень много уделено именно функции, правильному смыканию.
Спасибо огромное за этот семинар, два дня пролетели просто незаметно. Я очень всем его рекомендую!
25.09.2025
Алексеева Анна Александровна
Врач-ортодонт
Спасибо большое Инаре Теймуровне за такой замечательный семинар и такую душевную атмосферу! ❤️ Поделилась опытом на примере большого количества кейсов. Практичные лайфхаки. Думаю, будет интересно как начинающим ортодонтам, так и докторам с опытом работы
25.09.2025
Гамулина Екатерина Александровна
Врач-ортодонт
Очень интересный семинар! Подача, профессионализм, харизма доктора! Много кейсов, фишек, структурность подачи материала - на высшем уровне, всем рекомендую!
25.09.2025
Дивнич Александра Андреевна
Врач-ортодонт
Семинар наполнен интересными клиническими случаями и красивыми финишами. Инара подробно размазывает и показывает все этапы лечения - где, когда и на что нужно обратить внимание, делится лайфхаками и ошибками. На обучении была очень теплая и дружелюбная атмосфера, и, главное, возможность задавать любые вопросы по ходу семинара. Огромное спасибо, Инара! Вы лучшая!
25.09.2025
Шахаева Марьяна Муратовна
Врач-ортодонт
Курс очень понравился, особенно понравилась подача информации, было очень непринужденно, большое количество кейсов, лайфхаков.
25.09.2025
Ахмедова Карина Бахмудовна
Врач-ортодонт
Я ортодонт с опытом работы 5 лет, для меня курс был очень полезен, и, на мой взгляд, он подойдет как начинающим, так и опытным докторам! Курс очень многогранный, затрагивали множество актуальных тем, наполненный ,практически применимый.
Также одно из самых ценных качеств лектора это честность и открытость, отсутствие шаблонного мышления и границ ! Рекомендую!!!
Также одно из самых ценных качеств лектора это честность и открытость, отсутствие шаблонного мышления и границ ! Рекомендую!!!
06.09.2025
Элина Басиева
Врач-ортодонт
06.09.2025
Анна Аристова
Врач-ортодонт
18.08.2025
Антошкиев Умалат
Врач-ортодонт
04.08.2025
Видео-отзыв о семинаре Гусевой
Стоматолог-ортодонт
19.06.2025
Сейфетдинова Наталья
Врач стоматолог-ортодонт
19.06.2025
Шишкин Владимир Сергеевич
Врач стоматолог-пародонтолог
30.04.2025
Мамедов Эмин
Стоматолог-хирург
30.04.2025
Минасян Ангелина
Стоматолог-хирург
30.04.2025
Общий отзыв на семинар Курбана Шахгафизова
Врач-ортодонт
30.04.2025
Глактионова Юлия
Врач-ортодонт
30.04.2025
Шабутаев Насир
Врач-ортодонт
14.04.2025
Прудникова Ксения
Стоматолог-имплантолог -хирург -пародонтолог
Пришла на курс, потому что мой ортодонт обращается с запросом установки минивинтов на верхней и нижней челюстях. Ожидания полностью оправдались. Спасибо большое за такой понятный, доступный и детальный курс. Все детально рассказали. Буду работать. Особенности установки, которые были показаны буду применять на ближайших приемах. Самым интересным и запоминающимся на семинаре была практика, особенно с бруском дерева и моделями челюстей. Все было прекрасно!
14.04.2025
Стрикалова Наталья
Стоматолог-ортопед -имплантолог -хирург
Когда выбирала семинар, думала, что тема минивинтов проще. Но пока не ставила их. Оказалось, что нюансов и особенностей очень много и мозг закипает к середине семинара. Поэтому скажу, что ожидания оправдались в лучшую сторону. На семинаре почти все было новым. Если ортодонту потребуется установка таких минивинтов, теперь я готова это сделать. Самое интересно было определение анатомических ориентиров с помощью пальпации. На примере межкорневых часто достаточно смотреть КТ. А тут нужно пальпировать. Еще интересным был метод непрямой установки (с поворотом). Удивительно было обнаружить, что подходящий материал для практики будет деревянный брусок. На семинаре хорошее распределение теория-практика. Удобно, что проходим чуть-чуть теории и сразу делаем практику. Комфортно, потому что успеваешь переключиться и отдохнуть. Организация понравилась. Было вкусно и интересно.
Безлепкина София
Тему IZC для меня новая. Ожидания от курса полностью оправдались. Лектор очень доступно объяснил материал, подкрепил шикарными практическими занятиями. Теорию было легко воспринимать. Естественно, настроена сразу идти устанавливать минивинты. Больше всего запомнилась практика для закрепления мануальных навыков. Идти на этот семинар хорошо в паре, чтобы с коллегой понимать вместе нюансы установки минивинтов, особенно в зоне IZC. Организация семинара замечательная. Желаю развития компании!
Безлепкина София
Тему IZC для меня новая. Ожидания от курса полностью оправдались. Лектор очень доступно объяснил материал, подкрепил шикарными практическими занятиями. Теорию было легко воспринимать. Естественно, настроена сразу идти устанавливать минивинты. Больше всего запомнилась практика для закрепления мануальных навыков. Идти на этот семинар хорошо в паре, чтобы с коллегой понимать вместе нюансы установки минивинтов, особенно в зоне IZC. Организация семинара замечательная. Желаю развития компании!
14.04.2025
Северина Валерия
Стоматолог-хирург
Семинар мне порекомендовал главный врач, поэтому я шла без ожиданий. Хотелось укрепить знания, навыки, которые есть. Обрести больше уверенности, конкретики. Все это удалось сделать.
Я хирург и работаю с винтами самостоятельно. Семинар, мне кажется, больше хирургическая тема, но ортодонтам тоже полезно. Я в процессе лекции скидывала своему ортодонту фотографии, и она удивлялась, говорила, да, давай будем так работать. Поэтому ортодонтам, наверное, не так глубоко, но это полезно знать. Были открытия по методике установки. Я все это делала, но иногда не понимала, почему не получается так как мне хочется в определенной позиции поставить или добиться стабильности. Сейчас и поняла, где я ошибалась. Самое интересное – практика.
Интересно послушать, как делает коллега, который в этой теме углубленно разбирается. Маленькие нюансы очень важны, и зачастую из-за них не получается добиться какого-то успеха. Поэтому это для меня было интересней всего. Когда бывают курсы, где много-много народу, лектор просто физически не успевает подойти, и мы вроде бы там какие-то навыки на фантомах отрабатываем, но у тебя нет понимания, а верно ли ты понимаешь информацию, правильно ты делаешь.
А тут лектор подошел ко всем, посмотрел, прокомментировал, сказал как делать. Это классно. После пяти вечера второе дыхание открылось, и вот эти там три с половиной часа уже пролетели. Может быть теоретическую часть покомпактнее сделать, потому что, на самом деле, приступая к практике, мы также по этой теории проходили. Я коллегам рассказывала про этот семинар и несколько человек заинтересовались сразу. Спасибо за семинар.
Я хирург и работаю с винтами самостоятельно. Семинар, мне кажется, больше хирургическая тема, но ортодонтам тоже полезно. Я в процессе лекции скидывала своему ортодонту фотографии, и она удивлялась, говорила, да, давай будем так работать. Поэтому ортодонтам, наверное, не так глубоко, но это полезно знать. Были открытия по методике установки. Я все это делала, но иногда не понимала, почему не получается так как мне хочется в определенной позиции поставить или добиться стабильности. Сейчас и поняла, где я ошибалась. Самое интересное – практика.
Интересно послушать, как делает коллега, который в этой теме углубленно разбирается. Маленькие нюансы очень важны, и зачастую из-за них не получается добиться какого-то успеха. Поэтому это для меня было интересней всего. Когда бывают курсы, где много-много народу, лектор просто физически не успевает подойти, и мы вроде бы там какие-то навыки на фантомах отрабатываем, но у тебя нет понимания, а верно ли ты понимаешь информацию, правильно ты делаешь.
А тут лектор подошел ко всем, посмотрел, прокомментировал, сказал как делать. Это классно. После пяти вечера второе дыхание открылось, и вот эти там три с половиной часа уже пролетели. Может быть теоретическую часть покомпактнее сделать, потому что, на самом деле, приступая к практике, мы также по этой теории проходили. Я коллегам рассказывала про этот семинар и несколько человек заинтересовались сразу. Спасибо за семинар.
14.04.2025
Фетюхина Татьяна
Стоматолог-хирург
Ожидания были. Я не знала, что такое микровинты, как они ставятся и как с этим работать. Запрос обучения был от ортодонта, который работает со мной. Она мне и предложила пойти на этот курс. Понимание и желание работать с микровинтами появилось. Ничего сложного с утра я в этом не увидела. Осталась только техническая часть, чтобы мой работодатель купил отвертку. И все, что с этим связано. Я думаю, что данный семинар в большей степени для хирурга, ну либо для ортодонта, который сам собирается ставить микровинты. Мне после семинара интересно понять, насколько мой ортодонт понимает, что это такое и в какие локации нужно ставить. Не хватило информации про межкорневые минивинты. Семинар был очень длинным. Мы задержались больше, чем было по таймингу, но казалось, что лектор максимально хотел выложиться. Вообще, он мне очень понравился. Самым интересным был блок практики с пальпацией. На многих курсах практическая часть подается быстрее и быстрее, и, в принципе, если ты руку не поднял, к тебе никто не подойдет. Здесь было иначе. Лектор отзывчив, с ним комфортно. Он очень хорошо подает, легко, просто. Единственное, что, ну, если бы это были какие-то челюсти, не напечатанные на 3D принтере. Здесь сложно оценить, насколько это похоже на реальность по тактильным ощущениям.
14.04.2025
Басенцян Юлия
Врач-ортодонт
Я ехала на семинар с целью усвоить практический навык и узнать о возможных осложнениях при применении минивинтов. Я начинающий ортодонт и волнуюсь по поводу осложнений. Мои ожидания от семинара полностью оправдались. Семинар прошел на одном дыхании. День пролетел очень быстро. Понравилось, как лектор объяснял механику, что как раз мне и было важно. Все, что я хотела знать, я получила. Семинар будет полезен ортодонтам не только в перспективе самостоятельной установки минивинтов, но также для коммуникации с хирургом. Часто хирурги не знают, как нужно поставить минивинты, для чего это нужно. Здесь стало понятно, что ортодонту прийти и сказать, что именно нужно сделать. Поэтому, ортодонту точно нужно обладать этими знаниями. У меня есть пациенты, которым нужно в планах лечения устанавливать минивинты, поэтому я в ближайшее время планирую уже сама поставить. Было бы вообще классно, если бы ортодонты вместе со своими хирургами приезжали. Сразу бы настроили кооперацию по теме минивинтов. Может быть, мой хирург придет в следующий раз. Я думаю, после семинара у меня не будет такого страха работы с минивинтами. Для меня была проблема, я не знала каких осложнений ждать. Лектор подробно рассказал, как можно от этих осложнений избежать. Что не так страшно, если возникнет, и это можно предотвратить. После семинара я подумала, что на самом деле это, конечно, сложно, но не нужно этого бояться. Было приятно, что лектор сам подходил к столику и помогал. Можно было прям вживую с ним пообщаться, спросить, причем он очень приятный лектор, мог и пошутить. Запомнилось, что лектор разбавлял серьезную, напряженную атмосферу своими шутками и видео-роликами. Я была на курсах, на которых, допустим, один день теория чиста, второй день практика. И семинар Даниэля, это был первый курс, на котором шло теоретическое занятие и сразу же закрепила практикой. И мне это тоже очень понравилось, потому что, когда ты целый день сидишь, впитываешь информацию, записываешь, и, к вечеру, очень утомляешься. А здесь получилось так, что ты сидишь, думаешь, напрягаешь свой мозг, а потом уже начинаешь отрабатывать это мануально, можно сказать, напрягая свои руки. И это так легко воспринимается и хорошо закрепляется. Мне такой формат, конечно, понравился.
03.03.2025
Аксенова Ирина
Стоматолог-ортодонт
Это не первый мой отзыв на семинары, организованные Ортолайт! Сегодня отзыв по ТОП-21. Огромная благодарность спикерам за то, что делитесь ошибками и осложнениями, возникшими в вашей практике, делитесь путями решений. Это позволят практикующему ортодонту знать, избегать и, важно, что он не одинок, если есть осложнение, что ему помогут исправить ситуацию! Это политика Ортолайт – объединять врачей, делиться знаниями и помогать! Сердечно благодарю Вас!
24.02.2025
Общий отзыв на семинар Батчаевой
Врач-ортодонт
15.02.2025
Видеоотчет о семинаре в москве
Врач-ортодонт
14.02.2025
Наталья
Врач-ортодонт
14.02.2025
Елена
Врач-ортодонт
14.02.2025
Антипов Михаил
Врач-ортодонт
10.02.2025
Гуломов Мансурхон
Врач-ортодонт
10.02.2025
Алибулатов Ислам
Врач-ортодонт
10.02.2025
Уретнова Залина
Стоматолог-терапевт
16.01.2025
Газиева Маржанат Магомедовна
Стоматолог-ортодонт
Больших ожиданий не возлагала. Мне было интересно само название. В итоге узнала больше, чем ожидала. Думаю, для ординаторов это вообще было прям суперкруто. Я не пожалела, что потратила свой выходной на это. Для меня были новые идеи. Например, эластики по третьему классу я и раньше давала по-другому и не совсем прямо с первых дней. Сейчас уже человек пять было у меня на фиксации, то есть я применила именно новые знания. В остальном, в принципе, все то, что мы и так применяем. Как практикующему доктору мне интересно было смотреть клинический разбор.
Было интересно слушать ошибки, что так делать не стоит. Очень умную вещь сказал лектор, что пациент замотивирован, в лучшем случае, первый год. Дальше пациент хочет быстрее снять и не носит эластики и прочее. Если сразу применять эластики, то пациент более дисциплинирован и первые результаты действительно его мотивируют сохранять кооперацию с врачом.
Передайте огромное спасибо за такую полезную лекцию. Я получила какие-то фишечки уже применяю в работе, и я считаю, что это и есть показатель того, что все не зря.
Было интересно слушать ошибки, что так делать не стоит. Очень умную вещь сказал лектор, что пациент замотивирован, в лучшем случае, первый год. Дальше пациент хочет быстрее снять и не носит эластики и прочее. Если сразу применять эластики, то пациент более дисциплинирован и первые результаты действительно его мотивируют сохранять кооперацию с врачом.
Передайте огромное спасибо за такую полезную лекцию. Я получила какие-то фишечки уже применяю в работе, и я считаю, что это и есть показатель того, что все не зря.
16.01.2025
Годявин Роман
Стоматолог-ортодонт
На семинар я не планировал изначально идти. Знакомые ортодонты, которые пошли на него, предложили составить компанию. В плане выбора темы для себя могу сказать, что конкретно этот семинар позволил несколько структурировать ту информацию, которая в целом уже была. Глобально ничего нового не было. Были моменты, на которых можно подискутировать. Ну, вот просто такой момент, что дуги устанавливаются из упаковки. Кажется логичным, что жесткие дуги требуют индивидуального переформирования. У каждого врача, наверное, свой взгляд.
Ходишь так на разные-разные обучалки, и когда несколько человек разные мнения скажут, где-то в середине оказывается то, что нужно. Самый запоминающийся раздел был про эластики. Было интересно послушать по поводу протоколов их применения.
Мне было бы интересно услышать более подробно по поводу дуг. Так чтобы лектор чуть подробнее остановилась на материалах дуг, их свойствах, характеристиках, как это все влияет на работу. Я подтвержу, что этот семинар больше для начинающих специалистов, но и для коллег с опытом работы, я думаю, что тоже семинар будет полезен в плане именно структурирования
информации.
Ходишь так на разные-разные обучалки, и когда несколько человек разные мнения скажут, где-то в середине оказывается то, что нужно. Самый запоминающийся раздел был про эластики. Было интересно послушать по поводу протоколов их применения.
Мне было бы интересно услышать более подробно по поводу дуг. Так чтобы лектор чуть подробнее остановилась на материалах дуг, их свойствах, характеристиках, как это все влияет на работу. Я подтвержу, что этот семинар больше для начинающих специалистов, но и для коллег с опытом работы, я думаю, что тоже семинар будет полезен в плане именно структурирования
информации.
09.12.2024
Гонян Сона
Врач-ортодонт
Мне понравилось, что было много клинических случаев, и она говорила про свои ошибки и пути их решения. Она показывала через какие ошибки прошла с пациентами. Большой плюс, что было много очень клинических случаев. Мне очень понравился семинар. Были случаи, что появлялись ассоциации со своими пациентами. И те, кого уже пролечила и те, что на лечении сейчас. Есть похожие случаи. Нашла для себя фишки в ортодонтическом лечении. Надеюсь пригодятся. Подача от лектора, что очень легкая, видно, что Татьяна Владимировна не стрессовала. Материал рассказывала легко и доступно. Так на спокойной волне. У нас и группа была хорошая, и вопросы активно задавали. Презентация легко воспринималась. Понравилось, что рассмотрели ретенцию в начале. Все последующие клинические случаи как раз были с ретенцией связаны, поэтому вышло хорошо. Продумано все было.
09.12.2024
Лукомская Камилла
Врач-ортодонт
Ожидания от программы оправдались. Я не ожидала, что познакомлюсь с какой-то частью с концепции Сато. Ожидала посмотреть на кейсы, там было много интересного: планы лечения, механика, как производить лечение, это было сверх того, что думала увидеть. Интересно был подход к лечению. Кейсы с открытым прикусом и мезиальным, ротация окклюзионных плоскостей. Тут трудно выделить что-то одно. Во второй день запомнилось про то как лечить дистально, мезиально, открытые прикусы. Воспринимать информацию, на удивление, было очень легко. Думала, что будет тяжелее. На мои вопросы лектор ответила. Мне понравилось. Позвала уже коллег тоже пройти этот семинар.
09.12.2024
Джамалова Аминат
Врач-ортодонт
Я очень довольна посещением семинара Татьяны Захаровой. Получила очень много качественных ответов на свои вопросы. Я в восторге. Что-то уже применяю в работе. Интересными были разделы с мезиальным и дистальным прикусом. В каждом разделе семинара я нашла что-то новое и полезное для своей работы. Столько классных кейсов было. Лектор прекрасная. Я ее слушала на ТОПе и с того времени хотела попасть на семинар. Вот так раскрыть свои ошибки перед молодыми специалистами – это очень ценно. Я очень довольна этим семинаром.
09.12.2024
Харламова Ольга
Врач-ортодонт
Мне очень понравилось на семинаре. Я приехала из Сибири специально на него. Татьяна Владимировна, доступно и подробно все проблемы, которые мне были интересны, обозначила, поэтому оправдали все мои ожидания. Самое интересное, что, когда она показывала одну из своих работ, и обсуждали ошибки, практически идентичный случай был в моей практике, поэтому удивительно даже. Много нового для себя вынесла. Я работала в другой системе. Вот, и после посещения семинара, после ее рекомендации, мне захотелось работать именно с компанией Ортолайт. Сейчас я планирую работать в Pitts21. Много таких моментов, которые всем параметрам для работы с пациентами соответствует. Когда лектор с таким стажем, авторитет для других специалистов, занимается на разных уровнях, во многих странах проходила стажировку, то это показатель ее образованности. Прислушиваешься к рекомендациям. Я бы с удовольствием еще посетила какой-нибудь из ее семинаров. Или повторно пройти этот. Запомнилось как лектор относится к своей работе. Как она каждого пациента называет не просто по имени и отчеству, а, например, Анечка, Сереженька. Это такое трепетное отношение к каждому пациенту, хотя я понимаю, что у нее пациентов огромное количество. Это дорогого стоит. Это самое комфортное обучение из последних, которые я ходила. Огромное спасибо, благодарности, очень рада, что познакомилась с Татьяной Владимировной, что попала к ней на семинар.
09.12.2024
Багаутдинова Амина
Врач-ортодонт
Мне семинар порекомендовали более опытные взрослые коллеги и сказали, что обязательно нужно посетить. Ожиданий у меня не было абсолютно. Про Татьяну Захарову мало информации в моём окружении. Семинар порадовал максимально. На все 100 и выше процентов. Было интересно посмотреть случаи, были сомнения по некоторым моментам. Когда показывают результат лечения через 10, 5, 3, 7 лет, то более уверенно проводишь лечение с фишками, которые рассказывают на семинаре. Понравилась гуманность, человеческий подход. Это откликается. Реклама была ненавязчивая, тоже хорошо вписывалась, в нужные моменты, и тоже было интересно. Каждый клинический случай был интересен. Здесь в каждом клиническом случае всплыла своя выжимка. Вот видишь клинический случай, и перед глазами всплывает свой пациент. Я могу сказать, что мне так же зашел семинар Филоненко. После этого семинара я много чего стала использовать. Естественно, у меня остались какие-то вопросы, и Татьяна Захарова мне на эти вопросы дала ответы. Меня сложился пазл. Вопросы с ретенцией, вопросы, как разные брекеты отрабатывают, к чему это приводит. У меня был вопрос, что винты выпадают. Она абсолютно спокойно делится, что тоже такое бывает. И что она делает в этом случае. Абсолютно полные ответы были. Возможность общаться с лектором очень удобна. Сейчас говорить про ошибки стало модно. Всем хочется показать какую-то слабинку. Но не каждый говорит, как он справляется с этими ошибками, как выходить из этой ситуации. Большой плюс Татьяны Захаровой, что она говорит, что будет потом. Она говорит, что можно сделать. И есть понимание, что нужно самому исправить ошибку. Мне было очень комфортно. У меня было общение. И лектор абсолютно просто объясняла, рассказывала, делилась опытом. Есть момент гуманности, есть момент какой-то приземленности, что тоже приятно. То есть не было такого «я так делаю и только так правильно». Она слушала, рассказывала, какие у нее бывают другие случаи, как она это отрабатывает, какие есть варианты, что нравится, что не нравится. Поэтому для меня все было отлично, на самом деле.
02.11.2024
Дриц Снежана
Врач-ортодонт
Впечатления самые положительные. Лектор большой молодец. Умеет грамотно преподнести информацию и заинтересовать аудиторию. Оба дня пролетели незаметно, не было такого, что объем информации утомил и хочется скорее закончить. Семинар Азата хотелось слушать бесконечно. Конечно открытия были в плане позиционирования (обязательно введу в практику) и в плане нестандартного использования сплинтов . Все обязательно попробую. Все было очень интересно. С нетерпением ждем новых интересных семинаров. У Азата определенно талант к проведению лекций. Отличный лектор и талантливый специалист.
02.11.2024
Башиев Ислам
Врач-ортодонт
От семинара Азата впечатления только положительные. Для меня было несколько новых идей. Буду использовать. Самым интересным в семинаре считаю лечение дистального прикуса, без выдвижения нижней челюсти. Лектору, слова благодарности, все было понятно, доступно.
02.11.2024
Лыскова Елена
Врач-ортодонт
Мне нравится, как Азат Фазлиев преподносит материал. У него доступный язык. Первый день был полон открытий: как он фиксирует брекеты, как он ведет лечение. Первый день очень понравился. Второй день посложнее. Я работаю с суставом и мне было все понятно. А вот моя коллега не так много работает с суставом. И для нее этот день был полностью непонятен. Пусть лектор почаще приезжает в Санкт-Петербург. Обычно на мероприятия приходят одни и те же люди. Но на этом семинаре я увидела много новых докторов, это мне понравилось. Буду ждать новых семинаров от Азата.
02.11.2024
Лезгина Надежда
Врач-ортодонт
Спасибо Азату Фазлиеву за семинар. Это то, чего мне не хватало. Были подробно, в деталях раскрыты темы ВНЧС и позиционирование брекетов. Я практически каждое слово записывала в тетрадь, каждый слайд фотографировала. Мне кажется, что семинар ориентирован на продвинутых докторов с опытом 1-2 года. Я нашла много информации для себя про работу с артикулятором, про сплит-терапию. Последняя тема оказалась дял меня пропущенной. Займусь этим. Все было классно. Рекомендую всем посетить этот семинар, и сама планирую посетить семинары этого лектора.
02.11.2024
Быкова Ирина
Врач-ортодонт
Лекция-супер. Я очень довольна. Стало открытием нижний гониальный угол. Его не считала на ТРГ, теперь буду. Плюс понравился лайфхак по дистализации незажатым стопором с пружиной! Ну, и внедрять к межкорневым винтам во фронте на дуге 0.16 нити. Самой интересная для меня тема была ВНЧС стадии развития смещения диска. Передайте лектору, чтобы почаще в Питер с чем-то новеньким приезжал.
07.10.2024
Гольцова Яна
Врач-ортодонт
Все вопросы, которые были по теме ретенированных клыков были раскрыты. Ожидания от семинара полностью оправдались. Сделала несколько открытий, когда рассматривали сложные клинические случаи с клыками. Получила мотивацию использовать то, что уже знала и внедрять новые приемы в практике. Сергей Александрович показал интересные случаи методы их ведения. Самым интересным было посмотреть решение кейсов с ретинированными клыками на нижней челюсти. Презентация и дизайн лектора отличные. Организация, как всегда, на высоте!
07.10.2024
Юля Кислова
Врач-ортодонт
Семинар оправдал себя. Хочу взять в работу в ближайшее время работу с контиливерами. Больше всего было интересно разбирать тему ретенированных зубов в старшем возрасте. От лектора получила достаточно информации и презентация достаточно информативная. Важно, что было много практики. Организация мероприятия отличная. Только не хватило выбора блюд на обед. В остальном все отлично. Желаю лектору благодарных пациентов, приятных слушателей и успехов в работе и личной жизни.
02.10.2024
Коновалова Мария
Врач-ортодонт
Все было здорово. Много что разложено по полочкам. Впечатления только положительные. Открыла для себя некоторые аппараты, которые хочу применять в лечении детей. Подробно разобрали аппарат Френкеля, именно это было актуально. Еще понравился аппарата Клампа, буду применять. Здорово показали разницу в лечении между гиппердивергентами и гипподивергентами. Теперь на детском приеме у меня сложились четкие алгоритмы, теперь не буду долго думать какой бы аппарат применить. Это упростит мою работу. Самое интересное, конечно же, очень много про лечение детей. Из пожеланий хочется добавить еще один день теории и посвятить этот день только лечению взрослых. Мне повезло попасть на практику. Спасибо лектору за возможность учится нем. Он показывал, как ставить руки, где какие мышцы находятся. Это помогло закрепить знания. Давно не попадалась такая учеба, что бы я приехала и смогла сразу использовать новое в работе. Спасибо Татьяне Юрьевне и всем помощникам за этот семинар. Учеба очень понравилась.
01.10.2024
Анастасия Федорова
Врач-ортодонт
Мне очень понравилось, как построена лекция. Все было классно: вовремя делали паузы, вовремя перерывы, вовремя практика (чтобы не заснуть после перерыва), сама презентация, классные истории из практики, юмор. Я получила очень структурную информацию в плане лечения случаев с ретенированными клыками. Есть пара фишек, которые я однозначно унесу с собой в практику. Как раз есть 4 сложных пациента, с которыми я справлюсь используя новые идеи. Самой интересной темой была про изгибы рычагов с опорой на минивинты. Ранее такие не применяла, теперь буду пробовать в работе. Понравился зал семинара. Было бы хорошо спрашивать по поводу еды на обед.
01.10.2024
Анна Волкова
Врач-ортодонт
Впечатления самые хорошие, ожидания от курса оправдались. Более того, приятно удивлена качеством информации за такую доступную стоимость семинара. Открытием стало ведение ретенированных клыков. Изменю свой подход в работе. Сергею Александровичу прошу передать слова благодарности. Мне было у него на семинаре очень комфортно.
01.10.2024
Круистина Рудь
Врач-ортодонт
Прекрасные впечатления от курса. Семинар превзошел мои ожидания. Я ординатор, поэтому абсолютно все было для меня новым и интересным. Ничего раньше не изучала по теме ретенированных клыков и хотелось быть готовой к пациентам с такой патологией. Классно, что было много клинических случаев. Все наглядно, подробно описано. Очень понравилась практика, все упражнения были увлекательными. Лектор рассказывает увлекательно, с юмором, подробно описывает кейсы. Благодарю за семинар!
01.10.2024
Чердынцева Екатерина
Врач-ортодонт
Очень рада была посетить такой семинар. Структурный, четкий, все по делу, нет усложнений. Уже использую баллисты. Благодаря семинару иначе взглянула на пендилюм и в целом исчез страх перед ретенциями. Всегда интересны ошибки и осложнения. Это то, что боится каждый врач и то, что всегда хочется избежать. Сергей Александрович прекрасный человек, лектор и врач! Спасибо за структуру и четкость. Все было прекрасно.
